Ηράκλειο: Αγοράκι τεσσάρων ετών κατάπιε κέρμα και βρέθηκε στο νοσοκομείο
Οι γιατροί στο ΠΑΓΝΗ κατάφεραν να αντιμετωπίσουν με επιτυχία το επείγον περιστατικό
Από το NEWSROOM Δημοσίευση 1/1/2024 | 17:20

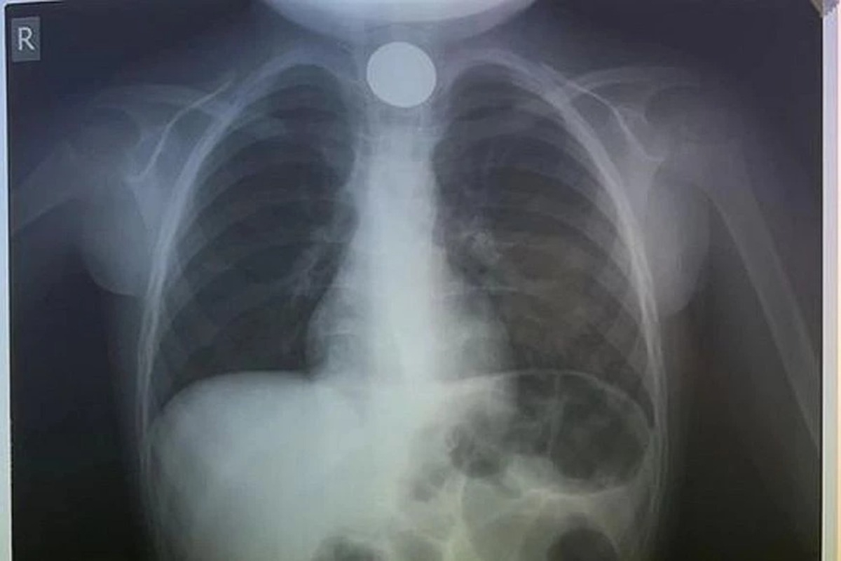
Περιπετειώδες ήταν το τελευταίο βράδυ του 2023 για μία οικογένεια στην Κρήτη, καθώς το 4χρονο παιδί τους, λίγες ώρες πριν την έλευση του 2024, κατάπιε κατά λάθος ένα κέρμα και μεταφέρθηκε εσπευσμένα στο νοσοκομείο του Ηρακλείου.
Πιο συγκεκριμένα, ο μικρός κάτω από αδιευκρίνιστες συνθήκες κατάπιε κατά λάθος ένα κέρμα και όταν οι γονείς του αντιλήφθηκαν τι είχε συμβεί έσπευσαν να το μεταφέρθουν στο νοσοκομείο. Το παιδί δυσκολευόταν μεν να αναπνεύσει, αλλά ευτυχώς είχε τις αισθήσεις του.
Όταν έφτασαν στο ΠΑΓΝΗ, η πρώτη κίνηση των γιατρών ήταν να του κάνουν ακτινογραφία, για να δουν σε ποιο σημείο ακριβώς είχε σταθεί το νόμισμα και αμέσως μετά προχώρησαν στη διαδικασία αφαίρεσής του. Δεν πέρασε πολύς χρόνος και οι γιατροί κατάφεραν να αντιμετωπίσουν επιτυχώς το επείγον περιστατικό, λύνοντας ταχύτατα το πρόβλημα.
Μάλιστα σε σχετική ανάρτηση της Ωτορινολαρυγγολογικής Κλινικής του νοσοκομείου αναφέρεται το περιστατικό μαζί με ευχές για μια καλή χρονιά: «Αποχαιρετάμε το 2023 με επείγουσα αφαίρεση σε κατάποση κέρματος σε 4χρονο. Καλή Χρονιά».






